What your tooth color may reveal about your health
By
Veronica E.
- Replies 0
Disclaimer: The information provided in this article is for educational purposes only and is not intended as a substitute for professional medical advice, diagnosis, or treatment. Always consult your physician or other qualified healthcare providers with any questions you may have regarding a medical condition or before making any changes to your health regimen. Please note that this article includes images of dental conditions that some readers may find unpleasant.
When you look in the mirror and smile, what do you see—bright white teeth, a touch of yellow, or maybe a spot that seems out of place?
Many of us assume tooth color is only about appearance, but it can actually carry important health clues.
Dentists explain that shades and markings on teeth sometimes reveal problems before symptoms appear anywhere else.
Your smile is more than cosmetic—it can be an early signal from your body.
Paying attention to these changes may help you protect both your dental and overall health.

While yellowing is often linked to coffee, tea, red wine, or even certain fruits, persistent yellow teeth can also suggest a medical issue.
Experts note that problems with the liver may allow a yellow pigment called bilirubin to build up, sometimes appearing in the teeth, skin, and eyes.
If discoloration lingers even with good dental care, it’s worth discussing with your doctor.

Brown spots are often an early sign of tooth decay, especially near the gumline or in molars.
In children and teens, brown streaks can sometimes indicate fluorosis—exposure to too much fluoride during tooth development, often from swallowing toothpaste or using strong mouth rinses.

A bluish or grey tint to the teeth can sometimes be traced to antibiotic use during childhood, particularly tetracycline, which binds to enamel as teeth form.
A single grey tooth may signal trauma that damaged the root years earlier.
Dentists call this a “dead tooth,” and it can eventually become infected if not treated.
Not all white marks are healthy.
Chalky or opaque white spots can point to early demineralization, which is the first stage of decay.
They can also signal enamel defects sometimes linked to systemic conditions like celiac disease.

A tooth that turns black usually indicates advanced decay or dead pulp tissue inside.
In rare cases, dark discoloration may be linked to heavy metal exposure.
Either way, it’s considered a red flag that requires dental attention as soon as possible.

If teeth appear irregularly discolored or patchy, the cause may be genetic.
A rare condition called amelogenesis imperfecta prevents enamel from forming properly, leaving teeth vulnerable to wear, damage, and decay.

According to the CDC, oral diseases affect billions of people worldwide, and untreated decay can lead to abscesses, tooth loss, and even life-threatening infection if bacteria spread into the bloodstream.
Your mouth is often a first warning system for health problems.
Paying attention to changes in tooth color can sometimes help you catch issues earlier.
Your teeth may seem like a small detail, but the changes you notice can provide valuable insight into your overall health.
By keeping an eye on color shifts, scheduling regular dental checkups, and taking action when something looks unusual, you can catch problems before they become serious.
A healthy smile doesn’t just boost confidence—it’s also an important part of staying well.
Read next: Could dentists one day help you regrow your own teeth?
Have you ever noticed a change in your teeth that turned out to be a bigger health issue? Or do you have tips for keeping your smile bright and healthy? Share your experiences in the comments—your story could help someone else in The GrayVine community!
When you look in the mirror and smile, what do you see—bright white teeth, a touch of yellow, or maybe a spot that seems out of place?
Many of us assume tooth color is only about appearance, but it can actually carry important health clues.
Dentists explain that shades and markings on teeth sometimes reveal problems before symptoms appear anywhere else.
Your smile is more than cosmetic—it can be an early signal from your body.
Paying attention to these changes may help you protect both your dental and overall health.

A healthy smile can sometimes reveal more than just good dental care. Image Source: Pexels / Shiny Diamond.
Yellow stains: more than just coffee
While yellowing is often linked to coffee, tea, red wine, or even certain fruits, persistent yellow teeth can also suggest a medical issue.
Experts note that problems with the liver may allow a yellow pigment called bilirubin to build up, sometimes appearing in the teeth, skin, and eyes.
If discoloration lingers even with good dental care, it’s worth discussing with your doctor.

Persistent yellow discoloration may signal more than everyday staining. Image Source: YouTube / Insider Tech.
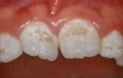
Brown spots and streaks
Brown spots are often an early sign of tooth decay, especially near the gumline or in molars.
In children and teens, brown streaks can sometimes indicate fluorosis—exposure to too much fluoride during tooth development, often from swallowing toothpaste or using strong mouth rinses.

Brown spots on teeth can be an early sign of decay or other dental issues. Image Source: YouTube / @drshwetachaudhary._.
Also read: A surprising new ingredient could change the future of dental care
Grey or blue tints
A bluish or grey tint to the teeth can sometimes be traced to antibiotic use during childhood, particularly tetracycline, which binds to enamel as teeth form.
A single grey tooth may signal trauma that damaged the root years earlier.
Dentists call this a “dead tooth,” and it can eventually become infected if not treated.
Chalky white patches
Not all white marks are healthy.
Chalky or opaque white spots can point to early demineralization, which is the first stage of decay.
They can also signal enamel defects sometimes linked to systemic conditions like celiac disease.

Chalky white spots can signal early signs of enamel damage. Image Source: YouTube / @santhidentalclinicthrissur.
Also read: Are you destroying your teeth every day? Dentist reveals 5 common brushing mistakes that could be doing more harm than good
Black or very dark teeth
A tooth that turns black usually indicates advanced decay or dead pulp tissue inside.
In rare cases, dark discoloration may be linked to heavy metal exposure.
Either way, it’s considered a red flag that requires dental attention as soon as possible.

A tooth turning black is often a warning sign of advanced decay. Image Source: YouTube / Electric Teeth.
Mottled or patchy enamel
If teeth appear irregularly discolored or patchy, the cause may be genetic.
A rare condition called amelogenesis imperfecta prevents enamel from forming properly, leaving teeth vulnerable to wear, damage, and decay.

Certain genetic conditions can affect how enamel forms, leading to discoloration. Image Source: YouTube / Dr. Shawneen Gonzalez.
Also read: Think your morning routine is healthy? One mistake could be ruining your teeth
Why tooth color matters
According to the CDC, oral diseases affect billions of people worldwide, and untreated decay can lead to abscesses, tooth loss, and even life-threatening infection if bacteria spread into the bloodstream.
Your mouth is often a first warning system for health problems.
Paying attention to changes in tooth color can sometimes help you catch issues earlier.
Also read: Is nighttime teeth grinding secretly harming you? Here’s how to tell—and what to do about it
What you can do
- Check regularly: Use good lighting or even a home dental camera to monitor your teeth.
- See your dentist: Don’t wait for pain—regular checkups can catch problems early.
- Be mindful of diet: Rinse with water after coffee, wine, or staining foods.
- Use fluoride wisely: Helpful for preventing cavities, but too much can cause problems, especially in kids.
- Take changes seriously: New colors, streaks, or spots are worth checking with a professional.
Your teeth may seem like a small detail, but the changes you notice can provide valuable insight into your overall health.
By keeping an eye on color shifts, scheduling regular dental checkups, and taking action when something looks unusual, you can catch problems before they become serious.
A healthy smile doesn’t just boost confidence—it’s also an important part of staying well.
Read next: Could dentists one day help you regrow your own teeth?
Key Takeaways
- The color of your teeth can provide early clues about overall health, with certain shades linked to conditions like liver disease, celiac disease, or even heavy metal exposure.
- Yellow teeth aren’t always from coffee—they may also indicate liver problems, while grey teeth can suggest past trauma or antibiotic use during childhood.
- Brown spots often point to early decay, while brown streaks may result from fluorosis caused by excess fluoride during tooth development.
- Chalky white patches, black discoloration, or mottled enamel may signal enamel defects, genetic conditions, or advanced decay, all of which require dental attention.
Have you ever noticed a change in your teeth that turned out to be a bigger health issue? Or do you have tips for keeping your smile bright and healthy? Share your experiences in the comments—your story could help someone else in The GrayVine community!